Здоровье

В Липецке зафиксировали 2 случая бешенства у животных с начала апреля

В Липецке зафиксировали 2 случая бешенства у животных с начала апреля

Екатерина Полосина По региону 7 случаев подтвержденного заболевания В регионе осложнилась ситуация по бешенству.

Липецкие врачи спасли пациента с внутренним кровотечением из крупной артерии

Липецкие врачи спасли пациента с внутренним кровотечением из крупной артерии

Фото: ru.freepik.com 17 апреля. /MEDIA-TALK/.Медики из Липецкой областной клинической больницы успешно купировали кровотечение во время внутрисосудистой операции.

В Липецке побит температурный рекорд 104-летней давности

В Липецке побит температурный рекорд 104-летней давности

Сегодня, 17 апреля Липецк побил температурный рекорд, который держался с 1920 года.

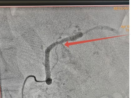
Врачи ЛОКБ впервые прооперировали липчанина  с внутренним кровотечением из крупной селезеночной артерии

Врачи ЛОКБ впервые прооперировали липчанина с внутренним кровотечением из крупной селезеночной артерии

  Вчера в Липецкой областной клинической больнице успешно проведена внутрисосудистая операция по купированию внутреннего кровотечения из крупной селезеночной артерии.

Липецкие хирурги за 6 часов операции спасли пациента с внутренним кровотечением

Липецкие хирурги за 6 часов операции спасли пациента с внутренним кровотечением

Полина Трофимова Сейчас липчанин находится в реанимации Фото: ГУЗ "Липецкая областная клиническая больница" Рентгенэндоваскулярные хирурги Липецкой областной клинической больницы спасли жизнь 52-летнего пациента

На Сахалине в апреле фиксируют температурные рекорды

На Сахалине в апреле фиксируют температурные рекорды

В апреле на Сахалине установилась необычно теплая погода. В регионе были побиты температурные рекорды, когда воздух прогревался до 24–25 градусов.

В Липецкую областную клиническую больницу едва не занесли корь: врачи предотвратили опасность

В Липецкую областную клиническую больницу едва не занесли корь: врачи предотвратили опасность

Пациента с корью изолировали и направили в инфекционку. В конце прошлой недели в приёмное отделение Липецкой областной клинической больницы обратился пациент с жалобами на аллергическую сыпь и плохое самочувствие.

Циклон с Атлантики принесет в Липецкую область дожди и заметное потепление

Циклон с Атлантики принесет в Липецкую область дожди и заметное потепление

В ближайшие трое суток Липецкая область окажется под влиянием очередного циклона с Атлантики повсеместно пройдут дожди различной интенсивности.

Уникальное оборудование для офтальмологии получили липецкие врачи

Уникальное оборудование для офтальмологии получили липецкие врачи

Антонина Скворцова 3D-визуализатор показал то, что не мог микроскоп Уникальное оборудование для офтальмологических операций опробовали хирурги липецкого областного клинического центра.

Об итогах работы Управления Роспотребнадзора по Липецкой области по защите прав потребителей за 1 квартал 2024 года

Об итогах работы Управления Роспотребнадзора по Липецкой области по защите прав потребителей за 1 квартал 2024 года

В 1 квартале 2024 года Управлением Роспотребнадзора по Липецкой области (далее – Управление) по вопросам защиты прав потребителей было  рассмотрено 709 обращений.