Липецкие хирурги за 6 часов операции спасли пациента с внутренним кровотечением

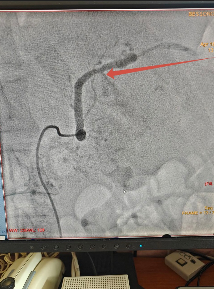
Полина Трофимова Сейчас липчанин находится в реанимации Фото: ГУЗ "Липецкая областная клиническая больница" Рентгенэндоваскулярные хирурги Липецкой областной клинической больницы спасли жизнь 52-летнего пациента

Полина Трофимова

Сейчас липчанин находится в  реанимации

Фото: ГУЗ "Липецкая областная клиническая больница"

Рентгенэндоваскулярные хирурги Липецкой областной клинической больницы спасли жизнь 52-летнего пациента с внутренним кровотечением. Все случилось в конце прошлой недели, когда мужчина обратился с жалобой из-за обострения хронического заболевания. Во время обследования врачи Владимир Анисимов и Алексей Литвиненко заподозрили, что в селезеночной артерии находится аневризма.

— Во время операции была обнаружена причина повреждения артерии — хронический воспалительный процесс поджелудочной железы, который «разъел» сосудистую стенку. В результате дефект сосуда привел к внутреннему кровотечению, — пояснили медики.

За 6 часов операции хирурги не только эмболизировали артерию, но и остановили открытое кровотечение. Сейчас пациент находится в реанимации. Липчанину предстоит длительное лечение основного заболевания.

Последние новости

Как правильно установить сервопривод после ремонта, чтобы избежать повторных поломок?

Пошаговое руководство для тех, кто не хочет повторить дорогостоящую ошибку

В Хлевенском районе прокуратура добивается прекращения действия водительских удостоверений 8 граждан, имеющих противопоказания к управлению транспортом

Прокуратура Хлевенского района провела проверку исполнения законодательства о соблюдении ограничений к управлению транспортными средствами.

После принятия мер прокурорского реагирования устранены нарушения законодательства в сфере противопожарного обустройства лесов

Липецкой межрайонной природоохранной прокуратурой проведена проверка исполнения законодательства в сфере противопожарного обустройства лесов.

Когда скидки превращаются в ловушку: как маркетологи учат нас тратить

Почему “-50% только сегодня” не всегда значит выгоду, как скидки играют на эмоциях и почему даже рациональные люди становятся жертвами маркетинговых трюков.

На этом сайте представлены актуальные варианты, чтобы снять квартиру в Черногорске на выгодных условиях

Комментарии (0)

Добавить комментарий

Ваш email не публикуется. Обязательные поля отмечены *