Уникальную для Липецка операцию на коронарной артерии провели хирурги БСМП

Данил Пономарев Раньше столь сложные операции делали лишь в федеральных центрах Липецкие хирурги сосудистого центра БСМП №1 провели уникальную для региона операцию на коронарной артерии.

Данил Пономарев

Раньше столь сложные операции делали лишь в  федеральных центрах

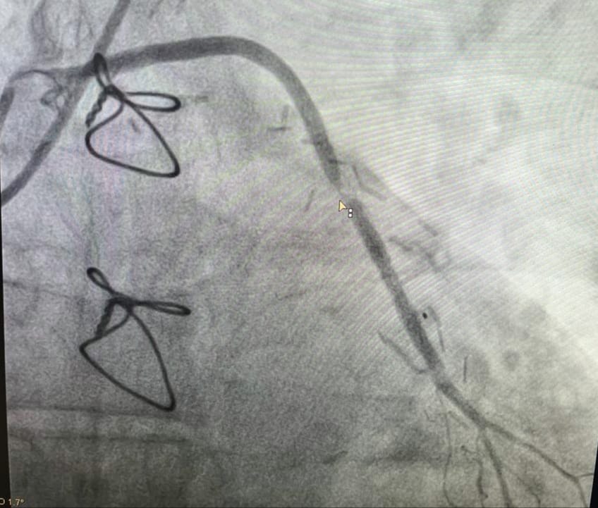
Липецкие хирурги сосудистого центра БСМП №1 провели уникальную для региона операцию на коронарной артерии. Об этом сообщает областное управление здравоохранения. Раньше такие сложные операции делали только в федеральных центрах.

Как пояснили в управлении, в больницу попал с пациент с жалобами на боль в груди. После коронарошунтографии стало понятно, что у него возникли проблемы со стентом, который ранее имплантировали в шунт.

Исходя из данных клиники при СПбГУ, шунт — это обходной маршрут для крови мимо поврежденной артерии, который хирурги создают из вен и артерий пациента, а стент — специальный каркас, который вводят в сосуд для его расширения.

— В результате было принято решение провести операцию, благодаря которой был поставлен стент с лекарственным покрытием в ранее стентированный шунт, — отметили в управлении здравоохранения.

В итоге через 3 часа после операции пациент вернулся к прежней двигательной активности, а боли в груди перестали его беспокоить.

Последние новости

Как правильно установить сервопривод после ремонта, чтобы избежать повторных поломок?

Пошаговое руководство для тех, кто не хочет повторить дорогостоящую ошибку

В Хлевенском районе прокуратура добивается прекращения действия водительских удостоверений 8 граждан, имеющих противопоказания к управлению транспортом

Прокуратура Хлевенского района провела проверку исполнения законодательства о соблюдении ограничений к управлению транспортными средствами.

После принятия мер прокурорского реагирования устранены нарушения законодательства в сфере противопожарного обустройства лесов

Липецкой межрайонной природоохранной прокуратурой проведена проверка исполнения законодательства в сфере противопожарного обустройства лесов.

Когда скидки превращаются в ловушку: как маркетологи учат нас тратить

Почему “-50% только сегодня” не всегда значит выгоду, как скидки играют на эмоциях и почему даже рациональные люди становятся жертвами маркетинговых трюков.

На этом сайте вы сможете узнать актуальные данные о погоде в Комсомольске-на-Амуре, включая прогнозы на ближайшие дни и часы

Комментарии (0)

Добавить комментарий

Ваш email не публикуется. Обязательные поля отмечены *